전암선 병변 위선종 팝핀현준 폭로 부인
- 전암성 병변
전암성 병변이란


전암성 병변은 말 그대로 ‘암으로 발전할 가능성을 가진 세포의 이상 상태’를 의미했다. 정상 세포가 반복적인 자극과 손상을 겪으면서 형태와 기능이 변하기 시작한 단계로, 아직 암은 아니지만 방치할 경우 악성종양으로 진행될 위험이 존재했다. 이 과정은 수개월이 아니라 수년 이상 서서히 진행되는 경우가 많아 자각 증상이 거의 없다는 특징이 있다.


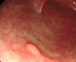
대표적으로 대장의 선종성 용종, 위 선종, 자궁경부 이형성증, 피부의 광선각화증 등이 전암성 병변으로 알려졌다. 이러한 병변은 세포 분열 속도가 비정상적으로 증가하거나 세포 배열이 흐트러지는 형태로 나타났다. 특히 흡연, 과도한 음주, 자외선 노출, 만성 염증, 바이러스 감염 등 생활습관과 환경적 요인이 주요 원인으로 지목됐다.


중요한 점은 전암성 병변은 ‘되돌릴 수 있는 마지막 단계’라는 점이다. 이 시기에 발견하면 비교적 간단한 시술이나 관리만으로도 암 진행을 차단할 수 있다. 따라서 정기검진은 선택이 아니라 필수에 가까운 예방 수단으로 강조됐다.
팝핀현준 전암성 병변 위선종 고백


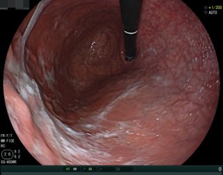
댄서 팝핀현준은 최근 자신의 건강 상태를 공개하며 전암성 병변 진단 사실을 알렸다. 팝핀현준은 병원에서 검사를 받은 뒤 ‘위 선종’ 진단을 받았다고 밝혔으며, 이는 위 점막에 생기는 대표적인 전암성 병변으로 알려졌다.



팝핀현준은 SNS를 통해 수액 치료를 받는 모습과 함께 근황을 전했다. 특히 “위 선종은 암은 아니지만 방치하면 암으로 진행될 가능성이 높다”고 직접 설명하며 팬들의 걱정을 샀다. 이후 공개된 사진에서는 이전보다 수척해진 모습과 깊어진 주름이 포착되면서 건강 이상설이 더욱 주목받았다.
팝핀현준 부인 박애리


팝핀현준의 아내는 국악인 박애리였다. 박애리는 판소리 명창으로 이름을 알린 전통 예술가로, 국립창극단에서 오랜 기간 활동하며 실력을 인정받았다. 두 사람은 공연을 통해 인연을 맺었고, 서로 다른 장르인 국악과 스트리트 댄스를 결합한 무대로 대중의 관심을 받았다.



2011년 결혼 이후 두 사람은 딸을 두고 가정을 꾸렸다. 무대에서는 강렬한 퍼포먼스를 보여주는 팝핀현준과 달리, 박애리는 단아하고 깊이 있는 국악 무대로 균형을 이루며 ‘예술 부부’로 불렸다. 방송에서도 함께 출연하며 부부의 일상과 예술적 협업을 공개해왔다.
팝핀현준 프로필


- 이름 : 남현준
- 나이 : 1979년 1월 30일생
- 고향 : 서울특별시
- 신체 : 키 170cm, 체중 약 56kg
- 학력 : 한림연예예술고등학교 실용무용과, 동아방송예술대학교 중퇴, 경희사이버대학교 재학
- 가족 : 부인 박애리, 딸 1명
- 데뷔 : 1998년 영턱스클럽 4집


팝핀현준은 국내 스트리트 댄스 1세대 댄서로 알려졌다. 어린 시절 어려운 가정환경 속에서도 춤을 선택했고, 거리 공연과 해외 무대를 통해 실력을 인정받았다. 이후 방송과 공연, 교육 활동까지 영역을 넓히며 대중적 인지도를 확보했다. 최근에는 건강 문제와 함께 삶의 방향에 대한 고민을 드러내며 새로운 전환점을 맞이하고 있다.
팝핀현준 폭로 성적 발언


팝핀현준이 재학생 폭로를 인정하고 교수직에서 물러났다. 백석예술대학교 실용댄스학부 재학생이라고 밝힌 글쓴이는 수업 중 욕설과 성적 수치심을 유발하는 발언이 있었다고 주장했다. 논란이 확산되자 팝핀현준은 하루 만에 사과문을 통해 “교육자로서 부적절한 언행이 있었다”고 인정하며 학생들에게 고개를 숙였다.



이어 교수직 사임 의사를 밝히며 책임을 지겠다는 입장을 전했다. 그동안 박애리와의 다정한 부부 이미지로 사랑받아온 모습과 상반된 논란에 대중의 실망감도 커졌다.